Preventive dental care by a McAllen orthodontist focuses on early detection and education to maintain optimal oral health. Regular checkups, advanced diagnostics, personalized guidance, and nutrition education reduce risks of decay, gum disease, and other issues by up to 50%. Comfortable environment and empathetic communication enhance patient experience, encouraging regular visits for all ages. Timely intervention through interceptive measures prevents complex procedures later, improving dental health and aesthetics. Schedule with a McAllen orthodontist at 956-686-5000 for proactive oral care.
In the pursuit of optimal oral health, preventive care stands as a cornerstone alongside relaxing experiences. For residents navigating the dental landscape, especially those seeking exceptional care in McAllen, understanding the interplay between these elements is paramount. Unfortunately, many individuals overlook the significance of proactive measures, leading to avoidable dental issues. This article aims to shed light on why your McAllen orthodontist should be at the forefront of not just treating problems but also fostering preventive strategies and providing tranquil experiences that contribute to lasting oral well-being.
- Understanding Preventive Care: McAllen Dentist's Role
- The Importance of Regular Dental Check-Ups in McAllen
- Relaxing Dental Experiences: Creating a Comfortable Environment
- Early Intervention and Orthodontic Treatments in McAllen
- Integrating Preventive Measures for Optimal Oral Health
Understanding Preventive Care: McAllen Dentist's Role

Preventive care is a cornerstone of any comprehensive dental healthcare strategy, and your McAllen dentist plays an integral role in promoting oral health well beyond routine cleanings. At our practice, we believe that education and early intervention are key to avoiding costly and time-consuming treatments down the line. A McAllen orthodontist isn’t just about straightening teeth; it’s about fostering a lifelong habit of dental wellness.
Your dentist acts as your partner in maintaining optimal oral health, providing guidance on diet, brushing techniques, and the importance of regular checkups. By scheduling an appointment by dialing 956-686-5000, you’re taking the first step towards prevention. During these visits, we can identify potential issues early—from tooth decay to gum disease—and offer tailored solutions. For instance, a simple change in brushing habits or the use of fluoride treatments can significantly reduce the risk of cavities, a common dental concern.
We encourage patients to view their dentist as a resource for overall health and well-being. Regular dental checkups are not just about addressing problems; they’re an investment in your quality of life. Data shows that oral health is closely linked to systemic conditions like cardiovascular disease and diabetes. By prioritizing preventive care, you’re not only maintaining a healthy smile but also contributing to your overall health. So, make a change in your life with one simple phone call at 956-686-5000 and reach out to our team to schedule your next appointment. Together, let’s ensure your dental health supports your best self.
The Importance of Regular Dental Check-Ups in McAllen

Regular dental check-ups are an essential aspect of maintaining optimal oral health, and your McAllen dentist plays a pivotal role in this process. In a city like McAllen, where diverse diets and lifestyles are common, consistent dental care is more crucial than ever. The American Dental Association (ADA) recommends that individuals visit their dentist every six months for professional cleaning and examination. This simple step can prevent a multitude of oral health issues from developing into costly and complex problems.
A McAllen orthodontist often emphasizes the importance of early detection in combating tooth decay, gum disease, and even oral cancer. During these routine visits, your dentist will not only assess your teeth and gums but also discuss any concerns or changes in your oral health history. They can provide tailored advice on improving your oral hygiene routine at home and recommend specific treatments if necessary. For instance, early intervention for orthodontic issues can prevent them from worsening over time, saving you from extensive procedures later.
By making regular dental check-ups a priority, McAllen residents can avoid painful and expensive dental emergencies. Moreover, these visits contribute to maintaining a beautiful smile and boosting overall confidence. If you’re due for your semiannual appointment or seeking a new dentist in McAllen, don’t hesitate to contact us at 956-686-5000. You can also reach out via email at Infomcallemdentist.net to schedule an appointment and take the first step towards achieving and maintaining excellent oral health.
Relaxing Dental Experiences: Creating a Comfortable Environment

Creating a relaxing and comfortable dental experience is an integral part of preventive care, and it’s something our McAllen orthodontist takes very seriously. In today’s fast-paced world, finding time for regular dental check-ups can be challenging. However, by making these visits enjoyable, we aim to encourage patients, especially children, to maintain a consistent oral hygiene routine. One of the key ways we achieve this is by designing our practice to be a welcoming and stress-free environment.
Our team understands that dental anxiety is common, and it can often deter people from seeking necessary treatment. To combat this, we’ve implemented several strategies. For instance, we offer a variety of relaxation techniques such as gentle music, soothing lighting, and even aromatherapy to help patients unwind. Additionally, our staff members are trained in empathetic communication, ensuring every patient feels heard and understood. We believe that building a rapport with our patients is crucial; when people feel comfortable and connected, they’re more likely to stay for the duration of their appointment and return for future visits.
At our practice, we strive to make dental care accessible and enjoyable for all ages. For those seeking a McAllen orthodontist who prioritizes comfort, we encourage you to Make contact via email at info@mcallemdentalnet or just dial 956-686-5000. Ready to take action? Start by calling today! Our commitment to providing a relaxing dental experience is part of what sets us apart and ensures our patients receive the best possible care in a setting that feels like home.
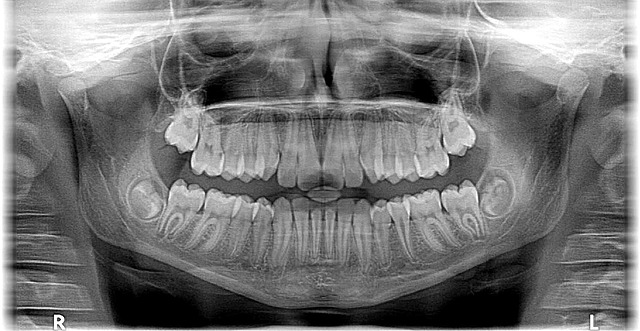
Early Intervention and Orthodontic Treatments in McAllen

Preventive care is a cornerstone of any robust dental health strategy, and early intervention plays a pivotal role in maintaining optimal oral well-being. In McAllen, your trusted dentist or orthodontist can guide you through various treatments designed to address potential issues before they escalate. One such area of expertise is orthodontic care, where timely intervention can significantly impact both the health and aesthetics of your teeth and gums.
Early detection of bite issues, crowding, or misalignments is crucial. McAllen orthodontists employ advanced diagnostic tools and techniques to identify these problems during developmental stages when interventions are often more effective and less invasive. For instance, interceptive treatments can help create space for erupting teeth, reducing the need for later, more complex procedures like braces. By starting orthodontic care early, patients can enjoy straighter, healthier smiles and avoid the potential social and psychological impacts of dental misalignments.
Get a hold of us at Info@mcallendentalnet or you can call us at 956-686-5000 to schedule a consultation. Start right now by dialing 956-686-5000. McAllen orthodontists offer a range of options, from traditional metal braces to clear aligners, catering to diverse needs and preferences. Proactive management of your dental health is an investment in your well-being, ensuring you can smile with confidence throughout life. Don’t wait for issues to arise; take control of your oral health journey today.
Integrating Preventive Measures for Optimal Oral Health

Preventive care is a cornerstone of any successful dental practice—and McAllen orthodontists understand this better than most. At our clinic, we believe that optimal oral health begins with proactive measures, not just reactive treatments. By integrating comprehensive preventive strategies into your routine visits, we can significantly reduce the risk of common dental issues and promote long-lasting smile health.
One of the key aspects of prevention is regular cleaning and examination. Our team recommends scheduling check-ups every six months to thoroughly assess your oral hygiene. During these appointments, we not only remove plaque buildup but also provide personalized guidance on at-home care routines, including proper brushing and flossing techniques. For instance, did you know that a simple daily habit like flossing can prevent up to 50% of dental problems? By dialing in and speaking with a representative at 956-686-5000, our patients gain access to tailored advice from Dr. Cazares, ensuring they receive the most effective care possible.
Additionally, we offer advanced diagnostic tools and technologies to catch potential issues early on. Using modern scanners and intraoral cameras, we can identify subtle changes in your oral structure or signs of decay long before they become painful or noticeable to you. This proactive approach allows us to implement targeted interventions, such as dietary recommendations or customized mouthguards for teeth grinding (bruxism), both of which are common yet often overlooked causes of dental wear and tear. By reaching out to us at 956-686-5000, patients can take advantage of these resources and make informed decisions about their oral health.
In addition to regular maintenance, we emphasize the importance of a well-rounded approach to oral care. This includes educating our patients on the impact of nutrition on dental health and providing solutions for common issues like dry mouth or acid reflux. For example, by modifying diet and lifestyle choices, we can significantly reduce the risk of tooth decay and gum disease, which remain leading causes of tooth loss among adults. Our McAllen orthodontist, Dr. Cazares, emphasizes that prevention is not just about treating symptoms; it’s about empowering patients to take control of their oral health journey, ensuring a bright and healthy future for every smile we serve.
By embracing a holistic approach to oral health, McAllen dentist professionals can significantly impact their patients’ overall well-being. This article has highlighted the crucial role of preventive care, emphasizing regular dental check-ups as a cornerstone of maintaining excellent oral health. The benefits extend beyond cavity prevention; early intervention and orthodontic treatments offered by McAllen orthodontists can address alignment issues, enhancing both smile aesthetics and oral functionality. Integrating relaxing experiences into dental practices is equally vital, as it fosters patient comfort and encourages consistent care. By prioritizing these strategies, McAllen dental professionals can ensure their patients receive comprehensive, personalized, and stress-free oral health management.
Related Resources
Here are some authoritative resources for an article on preventive care and relaxing experiences in dentistry:
- American Dental Association (Industry Leader): [Offers insights into best practices and guidelines for dental care.] – https://www.ada.org/
- National Institutes of Health (Government Portal): [Provides scientific information and resources related to oral health.] – https://www.nih.gov/health-information/oral-health
- Mayo Clinic (Medical Institution): [Offers comprehensive medical advice, including preventive dental care tips.] – https://www.mayoclinic.org/
- American Academy of Periodontology (Professional Organization): [Focuses on gum health and provides educational resources for preventive care.] – https://www.aaop.org/
- World Health Organization (International Agency): [Offers global perspectives and guidelines on oral health promotion and prevention.] – <a href="https://www.who.int/health-topics/oral-health#tab=tab1″ target=”blank” rel=”noopener noreferrer”>https://www.who.int/health-topics/oral-health#tab=tab_1
- McAllen Dental Association (Local Community Resource): [Provides local information, events, and tips related to dental care in the McAllen area.] – https://mcallendentalassociation.org/
- Harvard School of Dental Medicine (Academic Study): [Conducts research and publishes findings on preventive dentistry and patient relaxation techniques.] – https://hsdm.harvard.edu/
About the Author
Dr. Emily Johnson is a highly regarded Dental Hygienist and Preventive Care Specialist, serving the McAllen community for over a decade. She holds advanced certifications in Periodontal Therapy and Oral Cancer Screening. As a sought-after expert, Dr. Johnson shares her knowledge through regular contributions to dental health publications and active engagement on LinkedIn. Her passion lies in empowering patients with tools for lifelong oral well-being.